0
文章快速检索  
高级检索
后腹腔镜联合经尿道电切与下腹斜切口治疗上尿路尿路上皮癌的对照研究
廖德洋, 周晓洲, 付坚, 刘洋, 李珍燕, 王永权, 周占松     
400038 重庆,陆军军医大学(第三军医大学)第一附属医院泌尿外科
[摘要] 目的 探讨后腹腔镜联合经尿道输尿管口电切治疗上尿路尿路上皮癌(upper urinary tract urothelial carcinoma,UTUC)的安全性与有效性。方法 收集2016年7月至2019年7月本院采用后腹腔镜联合下腹部斜切口(下腹切口组)或后腹腔镜联合经尿道输尿管口电切(电切组)治疗UTUC患者的临床资料。其中下腹部切口组39例,电切组20例,共59例。比较两组手术时间、术中出血量、肠道功能恢复时间、留置引流时间、术后住院时间、术后并发症及1年复发转移率等指标。结果 电切组手术时间长于下腹切口组,差异有统计学意义(219.1±54.2 vs 178.7±60.8 min,P<0.05)。电切组留置引流时间、肠道功能恢复时间、术后住院时间均较下腹切口组显著缩短(P<0.05)。下腹切口组术后并发症共4例,其中肺部感染2例,腹膜后积液1例,术区淋巴漏1例;电切组术后出现膀胱出血1例,行二次膀胱电切镜止血。两组其余指标比较无明显差异。结论 后腹腔镜联合经尿道输尿管口电切治疗上尿路尿路上皮癌是安全、有效的。相对于后腹腔镜联合下腹部斜切口术式,具有创伤小,恢复快的优势。
[关键词] 后腹腔镜    经尿道输尿管口电切    肾盂癌    输尿管癌    
Transurethral ureteral orifice resection versus open resection after retroperitoneal laparoscopic nephroureterectomy for upper urinary urothelial carcinoma: a clinical control study of 59 cases
LIAO Deyang, ZHOU Xiaozhou, FU Jian, LIU Yang, LI Zhenyan, WANG Yongquan, ZHOU Zhansong     
Department of Urology, First Affiliated Hospital, Army Medical University (Third Military Medical University), Chongqing, 400038, China
[Abstract] Objective To evaluate the safety and effectiveness of retroperitoneal laparoscopic nephroureterectomy combined with transurethral resection of the ureteral orifice for the treatment of upper urinary urothelial carcinoma (UTUC). Methods We retrospectively analyzed the clinical data of 59 UTUC cases treated in our hospital from July 2013 to July 2019, who underwent retroperitoneal laparoscopic nephroureterectomy combined with transurethral resection of the ureteral orifice (n=20) or abdominal incision(n=39). Blood loss volume, time of incision drainage, recovery time of postoperative intestinal function, postoperative hospitalization time, postoperative complications and local recurrence, and distant metastasis were compared between the 2 groups. Results The transurethral resection group had significantly longer operative time (219.1±54.2 vs 178.7±60.8 min, P < 0.05), but shorter time of incision drainage, recovery time of postoperative intestinal function and postoperative hospitalization time (P < 0.05) when compared with the abdominal incision group. There were 4 cases having operative complications in the abdominal incision group, including 2 cases of pulmonary infection, 1 case of retroperitoneal effusion, and 1 case of lymphorrhagia. In the transurethral resection group, there was 1 case of postoperative bladder bleeding, and cystoscopic electrocision was performed for hemostasis. No significant differences were found in other evaluated indicators between the 2 groups. Conclusion Retroperitoneal laparoscopic nephroureterectomy combined with resection of the ureteral orifice is safe and effective for the treatment of UTUC. Compared with abdominal incision, transurethral approach has the advantage of less trauma and rapider recovery.
[Key words] retroperitoneal laparoscopy    transurethral resection of the ureteral orifice    renal pelvis carcinoma    ureteral carcinoma    

上尿路尿路上皮癌(upper urinary tract urothelial carcinoma,UTUC)是发生于肾盂及输尿管尿路上皮的恶性肿瘤,占尿路上皮癌的5%~10%。UTUC通常需手术治疗,肾输尿管全切加膀胱袖套状切除术是治疗UTUC的标准术式[1]。随着腹腔镜技术的进步及发展,腹腔镜肾输尿管根治性切除术(laparoscopic radical nephroureterectomy,LRNU)创伤小、安全有效的特点已得到公认,成为临床治疗UTUC的主流术式[2]。常规LRNU包括经腹腔途径及经后腹腔途径,其主要区别在于手术入路及标本取出方式,目前国内多采用经后腹腔途径[3-4]。经后腹腔途径进行肾脏和上段输尿管切除的手术方式并无太大区别,但对于输尿管末端的处理策略有多种报道。下腹部切口开放膀胱袖套状切除术是经典的手术方式,此外还有经尿道输尿管口电切术、经尿道输尿管套叠切除术、手辅助输尿管末端切除术等多种手术方式。各种处理方式的优劣性存在较多争议,没有充分证据证明何种方式能够替代开放膀胱袖套状切除术,因此目前并没有统一的标准术式[5]。本研究回顾性对比了本院采用后腹腔镜联合下腹斜切口及后腹腔镜联合经尿道输尿管口电切用于治疗UTUC患者的临床疗效,以探讨经尿道输尿管口电切方式处理输尿管末端的安全性及有效性,现报告如下。

1 资料与方法 1.1 一般资料

收集2016年7月至2019年7月于陆军军医大学第一附属医院采用后腹腔镜联合下腹部斜切口(下腹切口组)或后腹腔镜联合经尿道输尿管口电切(电切组)治疗UTUC患者的临床资料。其中下腹切口组39例,电切组20例,共59例。纳入标准:①初诊UTUC;②术前已进行CT输尿管成像,磁共振输尿管成像,尿脱落细胞学FISH检查等;③术后病理证实为尿路上皮癌。排除标准:①病变为双侧或合并膀胱肿瘤;②肿瘤靠近输尿管末端或侵犯输尿管开口;③术前检查提示肿瘤出现淋巴结或远处转移。两组患者的年龄、性别、BMI等基础资料差异无统计学意义(表 1),具有可比性。

表 1 两组患者一般临床资料对比(x±s,例)
组别 n 年龄/岁 性别 BMI/kg·m-2 肿瘤位置
下腹切口组 39 65.5±11.0 26 13 23.4±3.9 20 19
电切组 20 62.1±12.3 15 5 23.3±3.2 7 13
统计值(χ2t值) -1.059 0.433 -0.137 1.412
  P 0.294 0.510 0.892 0.235

1.2 手术方法

下腹切口组:患者麻醉成功后,取健侧卧位,于患侧腋后线第十二肋下,切开一长约2 cm的切口,此为A点,弯钳分离皮下、肌层,撑开腰背筋膜,用手指钝性分离腹膜后间隙,将腹膜后腔扩张器放置至此间隙内,充气至600 mL,维持约1 min后放气拔出。在手指引导下,于腋中线髂嵴上2 cm切开一长约1 cm的切口,此为B点,置入10 mm Trocar,于腋前线肋弓缘下切开一长约1.2 cm的切口,此为C点,置入12 mm Trocar。A点切口置入12 mm Trocar,缝线关闭该切口,充CO2气,维持压力约14 mmHg, 于B点Torcar置入30°观察镜,余两处Torcar分别置入超声刀及弯钳。以超声刀与弯钳配合,锐、钝性结合清除腹膜后脂肪,充分显露肾周筋膜。贴近腰大肌向下分离输尿管,Hem-o-lok于肿瘤下方结扎输尿管,防止肿瘤向下种植,于肾门处显露肾蒂血管,Hem-o-lok结扎夹依次夹闭肾动、静脉,并切断肾蒂血管。沿肾筋膜与腹膜交界层面向上逐渐游离肾脏,保留同侧肾上腺,完整切除患侧肾筋膜、肾周脂肪囊及肾脏,尽量向下分离至输尿管下段。检查术野无活动性出血。关闭气腹,取出Trocar,逐层缝合各切口。患者改取平卧位,常规消毒铺巾,取患侧下腹腹直肌旁斜行切口长约15 cm,切开皮肤、皮下,逐层切开腹壁各层肌肉及腹横筋膜,将腹膜推向内侧,仔细钝性分离至腹膜后腔,钝性+锐性分离输尿管至膀胱壁段,将输尿管膀胱壁段予以锥形切除,3-0可吸收线予以缝合,将肾脏输尿管一并取出,检查无活动性出血,清点器械纱布无误后,逐层缝合至皮肤,结束手术。

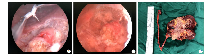
电切组:麻醉成功后,取患者截石位,电切镜进入膀胱,行膀胱镜检查,置入针状电极,距患侧输尿管开口1.5 cm处依次环形切开膀胱黏膜、膀胱肌层及浆膜层(图 1A),直至脂肪层暴露,将输尿管残端推向腹膜后间隙(图 1B),观察无明显出血后,留置尿管,持续予以生理盐水冲洗。改患者健侧卧位,再次消毒铺巾,按标准后腹腔镜肾切除术式切除患肾及输尿管中上段(具体操作同上),取出C点Trocar, 适当扩大切口(7~8 cm),超声刀钝性分离输尿管下段与膀胱周围的少量结缔组织,将标本取出(图 1C),逐层关闭肌肉、皮下和皮肤,结束手术。

A:环形切除输尿管开口及部分膀胱组织;B:输尿管开口切除后推向腹膜后腔;C:完整切除的手术标本 图 1 后腹腔镜联合经尿道输尿管口电切术对输尿管末端的处理

所有患者常规术后2周拔除尿管,并定期行吉西他滨1 g膀胱灌注化疗(1/7 d,共8次,1/30 d,共10次)。

1.3 观察指标

比较两组手术时间、术中出血量(采用手术记录所载出血量)、术后肠道功能恢复时间、术后伤口引流时间、手术并发症、术后住院时间等指标。术后随访1年,每3个月复查一次泌尿系彩超或CTU, 术后1个月起每半年复查一次膀胱镜,根据影像学结果评估复发转移情况。

1.4 统计学分析

采用SPSS 19.0统计软件进行分析,计量资料以x±s表示,组间比较采用独立样本t检验,计数资料以例(%)表示,组间比较采用χ2检验。P < 0.05表示差异有统计学意义。

2 结果

电切组手术时间长于下腹切口组(P < 0.05)。两组术中出血量比较无明显差异。电切组留置引流时间、肠道功能恢复时间、术后住院时间均较下腹切口组短,差异均有统计学意义(P < 0.05),见表 2。下腹切口组术后并发症共4例,其中肺部感染2例,腹膜后积液1例,术区淋巴漏1例;电切组术后出现膀胱出血1例,行二次膀胱电切镜止血。两组并发症发生率无明显差异。

表 2 两组患者术中及术后部分资料对比
组别 n 手术时间/min 术中出血量/mL 术后肠道功能恢复时间/d 术后引流时间/d 术后住院时间/d 1年肿瘤复发转移率(%)
下腹切口组 39 178.7±60.8 152.6±76.2 1.7±1.0 4.0±2.5 7.7±2.9 2.6
电切组 20 219.1±54.2 171.5±159.3 1.2±0.4 3.1±0.7 5.4±2.0 5.0
统计值(χ2t值) 2.507 0.612 -2.853 -2.050 -3.649
P 0.015 0.543 0.006 0.046 0.001 1.000

所有患者术后随访1年,复查膀胱镜显示电切组膀胱切口均完全愈合(图 2),电切组术后1年复发转移1例,为全身多处转移;下腹切口组术后1年复发转移1例,为膀胱转移。两组1年复发转移率无明显差异。

A:术后1个月;B:术后半年;C:术后1年 图 2 后腹腔镜联合经尿道输尿管口电切术后膀胱切口镜下表现

3 讨论

自CLAYMAN等[6]于1991年首次报道利用腹腔镜技术治疗UTUC以来,腹腔镜下肾输尿管癌根治性切除术已逐渐取代传统开放手术[7]。相对于开放手术,腹腔镜手术创伤更小,出血更少,术后恢复更快,患者住院时间也更短,同时具有跟开放手术相似的临床疗效[2, 8]。腹腔镜技术治疗UTUC通常有经腹腔入路及经腹膜后入路两种。肾及输尿管均位于腹膜后间隙,临床医师对腹膜后间隙入路解剖也更为熟悉,其操作相对腹腔入路更容易掌握,手术创伤也更小。因此后腹腔镜技术在UTUC临床治疗中得到了广泛的应用。

然而在后腹腔镜下直接处理输尿管末端较为困难。目前多采用下腹部斜切口,在直视下行输尿管远端及膀胱袖套状切除。此种对膀胱切口的缝合较为可靠,但是其创伤较大,“自外向内”的切除方式在输尿管周围的切除范围不易掌握、缝合难度大,且对膀胱周围组织甚至对侧输尿管开口损伤可能性较高。近年来,我们采用后腹腔镜联合经尿道输尿管口电切方式治疗UTUC,先取截石位在膀胱镜下进行输尿管口及部分膀胱壁全层电切,然后于侧卧位进行肾输尿管全长切除。此种“自内向外”的方式处理输尿管末端可减少体表切口,操作简便,创伤更小,可一并行膀胱镜检查,并可精确控制膀胱切除范围,残余创面可不缝合。

UTUC根治术后膀胱转移率可达22%~47%[9],虽然目前并没有UTUC术后常规化疗药物膀胱灌注方案,但多项研究表明术后膀胱灌注可有效降低术后膀胱转移风险[10],尤其是多次灌注[11-12]。为预防术后早期化疗药物渗漏,我们通常在术后2周拔除尿管时进行第1次吉西他滨1 g膀胱灌注化疗(1/7 d,共8次,1/30 d,共10次)。患者耐受良好,无严重不良反应。

由于电切法处理输尿管末端不做膀胱切口缝合,被认为会增加输尿管肿瘤复发播撒的风险。本研究显示两组1年复发转移率无明显差异,但由于纳入病例少,随访时间较短,此结果对于评价术后肿瘤复发转移情况仍显欠缺。两项评估UTUC术后复发转移危险因素的荟萃分析显示,经尿道输尿管口电切并未表现出与术后膀胱转移的明显相关性,而经膀胱外途径行膀胱袖状切除被认为是UTUC膀胱内转移的独立危险因素[13-14]。然而在一项对比传统膀胱袖状切除术与经尿道电切术的系统回顾中,经尿道内镜下处理输尿管末端的手术方式表现出更高的膀胱内及远处转移率[15]。因此,后腹腔镜联合经尿道输尿管口电切方式用于治疗UTUC患者的远期疗效仍待进一步研究。

本研究结果显示,电切组较之下腹切口组手术时间更长,这可能与电切组术中更换体位有关。由于创伤更小,电切术在留置引流时间、肠道功能恢复时间、术后住院时间等方面均表现出明显优势,有利于患者术后恢复。术后1个月首次复查膀胱镜时观察电切组输尿管口均完全愈合(图 2A),术后无排尿症状。同时,在并发症发生率及肿瘤复发转移率方面,经尿道输尿管口电切组与下腹切口组无统计学差异,显示电切方式处理输尿管末端的安全性及有效性。而且,对于临床医师而言,在输尿管镜下行膀胱及输尿管口电切相对开放切口的膀胱袖状切除术在操作上更加简洁迅速,视野也更加清晰。但是输尿管口电切的手术方式仍然存在以下几个问题:①快速水吸收增加术中潜在循环风险;②输尿管下段钝性分离粘连带困难时配合超声刀的使用有一定难度;③不适合肿瘤靠近输尿管末端的患者,有增加肿瘤扩散的风险等。需要术者有一定的临床操作经验并根据患者的具体情况进行选择。

UTUC手术中输尿管末端的处理方式较多,目前并无定论。本研究通过对比传统开放切口处理输尿管末端的手术方式,提示后腹腔镜肾输尿管全长切除联合经尿道输尿管口电切术治疗UTUC的微创性、安全性和有效性。由于UTUC发病率相对较低,本研究纳入病例数较少,加之随访时间较短,所得结论有一定局限性,仍需进一步扩大样本量及加强随访来验证结论。目前针对UTUC手术方式的相关研究大部分仍为回顾性研究,缺乏规范化的随机对照研究来提供更为有力的证据,以指导临床治疗方式选择。

参考文献
[1]
MARGULIS V, SHARIAT S F, MATIN S F, et al. Outcomes of radical nephroureterectomy: a series from the Upper Tract Urothelial Carcinoma Collaboration[J]. Cancer, 2009, 115(6): 1224-1233. DOI:10.1002/cncr.24135
[2]
WALTON T J, NOVARA G, MATSUMOTO K, et al. Oncological outcomes after laparoscopic and open radical nephroureterectomy: results from an international cohort[J]. BJU Int, 2011, 108(3): 406-412. DOI:10.1111/j.1464-410x.2010.09826.x
[3]
陈长金, 邹晓峰, 张国玺. 高危上尿路尿路上皮癌的外科治疗进展[J]. 赣南医学院学报, 2020, 40(5): 527-531.
CHEN C J, ZOU X F, ZHANG G X. Surgical treatment of high-risk upper urinary tract urothelial carcinoma[J]. J Gannan Med Univ, 2020, 40(5): 527-531. DOI:10.3969/j.issn.1001-5779.2020.05.023
[4]
吕东, 窦科, 向颖, 等. 经腹腔与经后腹腔途径行腹腔镜上尿路尿路上皮癌根治性切除术的疗效比较[J]. 临床泌尿外科杂志, 2016, 31(11): 979-981.
LYU D, DOU K, XIANG Y, et al. Comparison of efficacy between transperitoneal and retroperitoneal laparoscopic nephroureterectomy for upper urinary tract urothelial carcinoma[J]. J Clin Urol, 2016, 31(11): 979-981. DOI:10.13201/j.issn.1001-1420.2016.11.005
[5]
ATTALLA K, PATNAIK S, VELLOS T, et al. Management of distal ureter and bladder cuff at the time of nephroureterectomy: surgical techniques and predictors of outcome[J]. Future Oncol, 2019, 15(20): 2385-2393. DOI:10.2217/fon-2019-0064
[6]
CLAYMAN R V, KAVOUSSI L R, FIGENSHAU R S, et al. Laparoscopic nephroureterectomy: initial clinical case report[J]. J Laparo endosc Surg, 1991, 1(6): 343-349. DOI:10.1089/lps.1991.1.343
[7]
LIU F, GUO W, ZHOU X, et al. Laparoscopic versus open nephroureterectomy for upper urinary tract urothelial carcinoma: A systematic review and meta-analysis[J]. Medicine (Baltimore), 2018, 97(35): e11954. DOI:10.1097/MD.0000000000011954
[8]
刘康, 周克冲, 宋宇轩, 等. 比较腹腔镜与开放手术治疗上尿路尿路上皮癌预后的Meta分析[J]. 临床泌尿外科杂志, 2019, 34(2): 113-118.
LIU K, ZHOU K C, SONG Y X, et al. Oncological outcomes of laparoscopic nephroureterectomy versus open nephroureterectomy for upper tract urothelial carcinoma: meta-analysis[J]. J Clin Urol, 2019, 34(2): 113-118. DOI:10.13201/j.issn.1001-1420.2019.02.007
[9]
XYLINAS E, KLUTH L, PASSONI N, et al. Prediction of intravesical recurrence after radical nephroureterectomy: development of a clinical decision-making tool[J]. Eur Urol, 2014, 65(3): 650-658. DOI:10.1016/j.eururo.2013.09.003
[10]
HWANG E C, SATHIANATHEN N J, JUNG J H, et al. Single-dose intravesical chemotherapy after nephroureterectomy for upper tract urothelial carcinoma[J]. Cochrane Database Syst Rev, 2019, 5(5): CD13160. DOI:10.1002/14651858.CD013160.pub2
[11]
HUANG Y, CEN J, LIU Z, et al. A comparison of different prophylactic intravesical chemotherapy regimens for bladder cancer recurrence after nephroureterectomy for primary upper tract urothelial carcinomas: a retrospective 2-center study[J]. Technol Cancer Res Treat, 2019, 18: 1533033819844483. DOI:10.1177/1533033819844483
[12]
FANG D, LI X S, XIONG G Y, et al. Prophylactic intravesical chemotherapy to prevent bladder tumors after nephroureterectomy for primary upper urinary tract urothelial carcinomas: a systematic review and meta-analysis[J]. Urol Int, 2013, 91(3): 291-296. DOI:10.1159/000350508
[13]
郑铎, 尚攀峰, 刘隽垚, 等. 上尿路尿路上皮癌患者根治性肾输尿管切除术后膀胱内复发危险因素的Meta分析[J]. 中国循证医学杂志, 2018, 18(3): 305-313.
ZHENG D, SHANG P F, LIU J Y, et al. Risk factors for intravesical recurrence after radical nephroureterectomy of upper tract urothelial carcinoma: a meta-analysis[J]. Chin J Evid-Based Med, 2018, 18(3): 305-313. DOI:10.7507/1672-2531.201710121
[14]
SEISEN T, GRANGER B, COLIN P, et al. A systematic review and meta-analysis of clinicopathologic factors linked to intravesical recurrence after radical nephroureterectomy to treat upper tract urothelial carcinoma[J]. Eur Urol, 2015, 67(6): 1122-1133. DOI:10.1016/j.eururo.2014.11.035
[15]
LEE S M, MCKAY A, GRIMES N, et al. Distal ureter management during nephroureterectomy: evidence from a systematic review and cumulative analysis[J]. J Endourol, 2019, 33(4): 263-273. DOI:10.1089/end.2018.0819
http://dx.doi.org/10.16016/j.1000-5404.202010083
中国人民解放军总政治部、国家科技部及国家新闻出版署批准,
由第三军医大学主管、主办

文章信息

廖德洋, 周晓洲, 付坚, 刘洋, 李珍燕, 王永权, 周占松
LIAO Deyang, ZHOU Xiaozhou, FU Jian, LIU Yang, LI Zhenyan, WANG Yongquan, ZHOU Zhansong
后腹腔镜联合经尿道电切与下腹斜切口治疗上尿路尿路上皮癌的对照研究
Transurethral ureteral orifice resection versus open resection after retroperitoneal laparoscopic nephroureterectomy for upper urinary urothelial carcinoma: a clinical control study of 59 cases
第三军医大学学报, 2021, 43(8): 761-765
Journal of Third Military Medical University, 2021, 43(8): 761-765
http://dx.doi.org/10.16016/j.1000-5404.202010083

文章历史

收稿: 2020-10-15
修回: 2021-01-07

相关文章

工作空间